The Firstborn That Wasn't Meant to Be
I wish I never had to go through this but it seems that God has another plan...
Forsaken by his brothers, didn’t fit the scene
Being made a slave was not what Joseph dreamed
The coat of many colors was stained with blood and lies
But from this divine appointment, a ruler would arise
When God has another plan, walk on and just say yes
When God has another plan, be assured that He knows best
When all your dreams are shattered, rest in His sufficient grace
We don’t have to understand, when God has another plan
Alone and broken hearted, questions fill your mind
Changes can be hard that come by God’s design
But if you could see tomorrow with a view from Heaven’s Throne
Every unexpected struggle has led you closer home
It's funny. I learned this song around the time I was two weeks pregnant.
As you noticed, the title already projects sad vibes. I do not intend to bring discouragement. I'm writing this because someday, someone somewhere will experience the same thing and will go looking for answers. My experience, though extremely heartbreaking, will give her some of those answers. Nothing of this ordeal will go to waste.
This post may be TMI (too much info). If you don't think you can handle it, STOP RIGHT HERE.
Just enjoy this song and IGNORE THE REST OF THE ARTICLE.
My pregnancy timeline
1 week + 5 days - implantation spotting
Implantation Bleeding or Period? - What to Expect (READ HERE)
6 weeks
I'm Sure This Isn't Just Bloat (READ HERE)
6 to 9 weeks - enjoying pregnancy
A Chill First Trimester (READ HERE)
9 weeks + 2 days - first ultrasound
I fought the urge to post the scans in social media because there's nothing much to see yet. We were advised to repeat the scan after a week.
My gestational age was estimated at 7 weeks 2 days, 2 weeks after my LMP according to the size of the gestational sac.
Maybe I conceived later than I thought. No big deal.
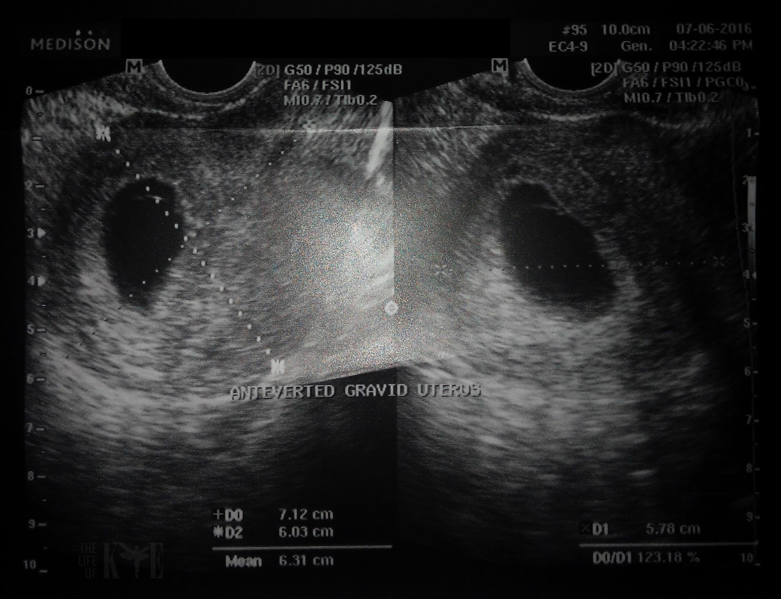
Gravid = means pregnant
Anteverted = tilted forward, more common among women
Yolk sac was only 0.35 cm.
The baby may either be too small to be detected, is slowly growing, or it could mean that the growth stopped and it could be a blighted ovum.
It was hard to sleep that night but I kept telling myself it's not final yet.
10 weeks + 2 days - the day of the follow-up ultrasound, but missed it.
11 weeks + 2 days - we decided to wait it out another week.
I didn't want to see an empty sac again. Next week we'll see the baby for sure and maybe we'll hear the heartbeat. We're staying positive.
12 weeks + 2 days - spotting
Sentenced to Bed Rest (READ HERE)
Sentenced to Bed Rest (Continuation) (READ HERE)
We're staying positive and hopeful that the pregnancy can still be saved.
13 weeks + 2 days
- check-up and repeat ultrasound (4 weeks after the last scan)
The spotting became worse and the meds didn't do anything at all to stop it.
We were about to have lunch when I noticed that the spotting was red. I wanted to cry but tried to stay calm. We're going to see the doctor soon. We'll resolve the spotting from there. Additional meds maybe?
We got there an hour before our appointment. We were hoping to be called first. There's always a long queue in the ultrasound room and ob-gyne clinic. I was really tense but my husband kept making jokes I forgot why I was worried.
I was called to the ultrasound room alone! They said they will call my husband later. What's going on?!?!
It's a trans-vaginal ultrasound. Totally uncomfortable! In the first few minutes of the ultrasound, I kept peeping on the screen through the side of my eye. Then I looked at the radiologist. He had his usual poker face but his forehead was slightly creased. I turned my eyes to the ceiling. This can't be good.
They called my husband for the devastating news.
There's very little increase in the gestational sac in one month. By this time it should be about twice as large.
Still an empty sac and the yolk sac is completely gone. No fetus. No fetal pole. No heartbeat. Just an empty sac.
The edge of the gestational sac is not as defined as in the last scan. Some parts look blurred and faded as the walls of the sac disintegrate. This is the most probable cause of spotting.
Hubby is still his usual self, trying to make jokes at every opportunity. We are so not crying in the hospital. It hasn't sunk in yet.
As soon as the results of the scan were printed, we were sent to the doctor's office. The doctor confirmed that it was a blighted ovum. My pregnancy failed.
I had a pelvic exam. My cervix was still hard and closed. (She tried to open it! It hurt so much I wanted to punch her!) The spotting continues and will more possibly progress to bleeding. She prescribed a medication to soften the cervix in preparation for a surgical procedure. The empty sac has to be removed.
Hubby kept making jokes as we head to the lobby. I remember him saying, "Uy, di na s'ya nag-iingat maglakad." [ She's not walking slowly anymore. ] It would be pointless. The only thing that can save the pregnancy now is a miracle.
No crying until we get home! He still had to go back to work late that afternoon. He visits me at home to make sure I'm doing okay.
When he got home from work, that's when we started mourning our loss. I didn't want to tell anyone yet. In my heart, I was still praying and hoping it can be reversed, that it's a misdiagnosis, but my body was telling me it was the end.
Maybe that's God's way of telling us it's not yet time to be parents.
Maybe that's God's way of telling us it's not yet time to be parents.
Reviewing our options...
Option 1
Go for a dilation and curettage procedure wherein tissue (remains of the gestational sack) inside my uterus will be surgically removed.
CONCERNS:
- It's a procedure that is also used for abortion, and I am AGAINST abortion.
- The possibility of complication after the procedure scares me.
- Going through it means I'm in a hurry to terminate my pregnancy. People will see it as a selfish act on my part.
- It's not cheap.
Option 2
Wait for a natural miscarriage
CONCERNS:
- I have no idea when it will happen and how long it will last. It can happen in a few days, weeks or months after the pregnancy ended.
- I heard that it might be painful and I might bleed a lot. Some women experience huge blood loss.
- If the uterus have not completely emptied after the miscarriage, the doctors will perform D&C procedure. Back to Option 1.
What I really want to happen
I want a miracle. I want to discover a living being in my next ultrasound. This is what I want...
But I also need to acknowledge that God has the full authority in my life. Whatever we face, good or bad, blessing or struggle or consequence, He allowed it. We only need to fully TRUST Him.
It is not easy. Not for me. It hurts too much to lose someone I haven't even met.
Whether I conceived a baby or a blighted ovum, all my symptoms are REAL! The happiness when we first saw the two lines in the PT was real.
For a short time, we learned to love a little person we were never destined to hold... That love was real too.
Now I know how it feels to love someone I haven't seen
counting the days until we meet
only to lose him before we have the chance...







Thank you for sharing your story.
ReplyDeleteI have just last month lost our first baby that took us over 2 years to concieve. I went on holiday and before leaving Canada the plane was sprayed with a bad chemical to remove the ice from the wings. It was smelly and green. I never thought it would hurt me or my baby. . ( we decided to go on holiday before i knew i was pregnant) i was going to Africa to meet my husband's family for the first time. I could have chosen any flight but thats the one i picked. Am still trying to understand why God even allowed me to conceive this baby in the first place. Many people would have told me not to go to a 3rd world country while pregnant, but this happened in my own country an hour from my home. My pregancy was fine up until this happened. The next day i was almost all the way to Africa when i noticed a tiny brown/ pink spot on the plane toilet. I tried to just pray and not worry but the worry was there. But then i had no more brown spotting for another day or so but then it came back. After a couple of days of spotting i told my husband i wanted to try to see a DR. He took me to a clinic there and we had an ultrasound but unable to see much. Ultrasound dated me at 6 weeks and the DR said its very early but everything is in the right place and looking good and he thought i would be alright just rest and not worry and come back next week. But a couple days later my bleeding got heavier. And then i had pain much like labor that came and went and got more and more painful. Over the next couple days I passed a few small pieces of blood not even as big as bloodclots. I knew then that our baby was gone. My husband didnt want his family to know so it was so hard because all i wanted was to be alone with him and cry but that wasnt often. He said he was.sad but i didnt realize how sad he was until i woke up to his silent sobbing. And a couple days after we saw one of our good friends and he told him everything and i was able to share for a few minutes our pain and sorrow. When we went back to the DR the second ultrasound showed my pregnancy was finished. He said i have passed everything already but if i wanted he could give me medicine to speed up the bleeding and final passing of anything else but i opted not too because we were coming home to Canada the next day. I had a couple days of brownish discharge after we got home. I saw my DR here and was told to watch for more bleeding pain or fever but he said i dont need an ultrasound unless things dont get normal with periods or i have pain etc.
Its been a month since it began and am alright but have been so tired and just dont understand. My period just started today but it seems really light but sometimes it starts that way and gets heavy. Not sure i can go through more waiting hoping and trying. I just turned 40 and i dont feel like i have much time left. I want at least 2 babies because i dont want our baby to grow up without siblings close in age. This is my second marriage and my son's are 15 and 18 and my husband has no children. We have been trying since our marriage. I had almost given up on ever having babies.. but we cannot plan our lives and as you say whatever we go through good or bad God has allowed.
That's a really difficult situation. I know the frustration of not having a child and losing hope of ever having children. I wrote this article after our first loss. We had two more losses after this... It's really difficult. There is no explanation for the three consecutive losses. I keep thinking, well, God could have prevented the pregnancy in the first place but He allowed it anyway. I just try to hold on to my faith and believe that something better will come along and all the pain will be worth it. It could be a rainbow baby or a successful career. Whatever it is, what tragedy happened to us meant to shape our characters for the better. Praying for you sis...
Delete